Ultrasound

Ultrasound in female pelvic health physiotherapy to visualise the pelvic floor, bladder and abdominal muscles.
Ultrasoundpelvicfloor
Services

POCUS

Use Of Point Of Care Ultrasound Scanning (POCUS) in Female Pelvic Health Physiotherapy

POCUS is the use of ultrasound scanning providing a “window” into your body to show you real time functioning or movement of your muscles along with the positioning of your pelvic organs (vagina, bladder, rectum). POCUS will also show you in real time how that function, movement and positioning changes with limb movements and activation of your pelvic floor. In addition, POCUS can identify whether you are emptying your bladder fully, assess the proper functioning of the external anal sphincter (sometimes damaged during childbirth), check for pelvic organ prolapse and also assess the muscle function of your abdominal wall including a diastasis recti.

This “window” allows you and your therapist to visualise the organs and movements with muscle contractions. This is extremely helpful in allowing you to see the movements at the same time as feeling for the movement, providing greater feedback than just feeling alone. Often, the biggest barrier to performing a regular and progressive pelvic floor rehabilitation program is lack of awareness of the correct technique – real time ultrasound scanning overcomes this barrier.

Ultrasound scanning has been shown to be one of the safest medical techniques. It has been used to provide valuable pictures and other diagnostic information for four decades, with no evidence of any harm. We use ultrasound scanning through a transducer placed either on the abdominal wall or on the outside of the vaginal entrance using a sterile technique.

Click Here For Details On The Scope Of POCUS In Female Pelvic Health Physiotherapy

Ultrasoundpositionfordiastasisrecti

Dynamic ultrasound scanning for assessment of a diastasis recti (tummy gap postnatal)

This type of scan allows the measurement of the width and depth of the linea alba and the functioning of the abdominal muscles following childbirth. The dynamic visual assessment allows a progressive and individualised exercise program to be undertaken.
Copy of Ultrasound position for pelvic floor

Dynamic Ultrasound Scanning Of The Pelvic Floor And Pelvic Organs

Here the ultrasound probe is placed outside the vaginal entrance. In this position we can evaluate the functioning of the pelvic floor, assess for pelvic organ prolapse.
Ultrasound position for exertnal anal sphincter

Dynamic Ultrasound Scanning Of External Anal Sphincter

Here the ultrasound probe is placed outside the vaginal entrance. The ultrasound waves can isolate the shape and contraction of the external anal sphincter which can often get injured during childbirth.

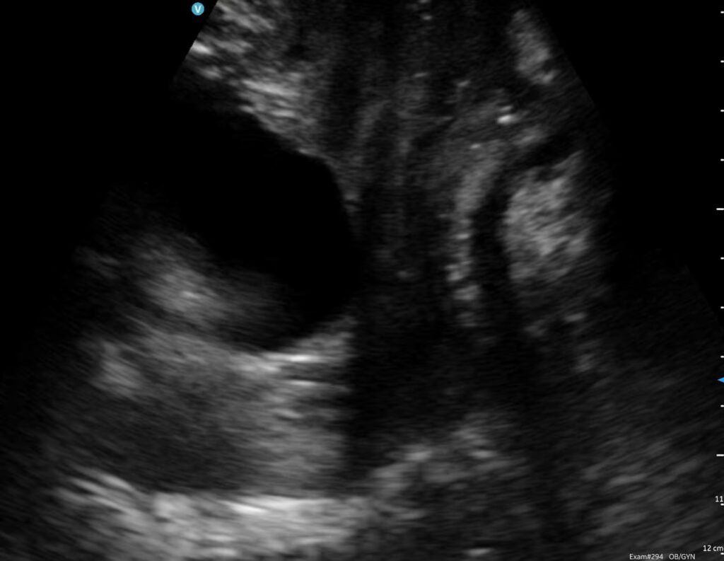
Ultrasoundpositionforbladderexam e1759759568515

Dynamic ultrasound scanning of the pelvic floor and bladder through the abdomen

Here you can see the bladder clearly (the black bit) and the movement of the pelvic floor downwards and upwards at the base of the bladder during a pelvic floor contraction. We can assess pelvic floor function in lying and standing. We can also assess whether you are fully emptying your bladder with ultrasound.